May 2023 — Philips Fieldstrength MRI article

After acquiring Philips SmartSpeed, Dr. Tobias Schröter was astonished at the great potential of this technology. It sets the stage for rapid, high quality MRI exams in his practice. He points out that across all anatomies, he discovers that shorter scan times and exceptional detail means faster, more confident diagnoses. Patient throughput has improved by about 20 percent.

Better productivity is important in a private imaging center like ours. And it is essential that we achieve this higher throughput without compromising image quality."
Dr. Tobias Schröter
MRT-Praxis Potsdam
Dr. Tobias Schröter, MD, has been a radiologist since 2000. After running a 24/7 radiology practice for 16 years, he took over MRT-Praxis Potsdam, specializing in MRI diagnostics. “After the takeover, I completely redesigned the premises and exchanged the older MRI machine for a 1.5T Philips Ingenia Ambition S with sealed magnet.” Recently, the MRI Practice in Potsdam acquired AI-based Philips SmartSpeed of which Dr. Schröter has found that it makes a significant difference. “We had already been using Compressed SENSE from Philips to accelerate our cartesian scans and increase throughput. SmartSpeed now allows us to further reduce scan times and artificial intelligence (AI) makes the image quality even better compared to images we acquired using Compressed SENSE.” Dr. Schröter now uses SmartSpeed for 2D and 3D sequences in all anatomies. “I am astonished at the great potential of SmartSpeed, especially because 3D imaging in MSK is becoming feasible now. I can get very good image quality in very short scan time.” He also uses SmartSpeed for patients that cannot hold still, without worrying about needing re-scans. And it can also be used for patients with implants. “Besides the fast scanning, we now have the advantage of fast image reconstruction, so that we can already look at images while the scanning is still ongoing.”
I am astonished at the great potential of SmartSpeed’’
Dr. Tobias Schröter
MRT-Praxis Potsdam
MRT-Praxis Potsdam mostly focuses on neuro imaging and musculoskeletal examinations. They also perform prostate examinations, and occasionally some abdominal MRI. “Philips SmartSpeed really helps us scan more patients per day,” Dr. Schröter says. “We achieve higher throughput and better productivity without compromising on image quality. We used to scan 32 to 35 patients per day, but now with SmartSpeed we can perform significantly more examinations in less time. We went from 160 to 170 exams per week before SmartSpeed to up to 200 per week, or about 40 patients per day. “The short MRI scan times that we realize with SmartSpeed also provide better comfort for all our patients. Not everyone is comfortable lying in the scanner. Even normal, healthy individuals often cannot lie still for that long, which may lead to motion artifacts. So, being able to image faster is an obvious benefit. Our average examination time is now about 10 minutes. Only a few of our exams need more than 20 minutes.”
“Thanks to SmartSpeed, we are able to perform examinations extremely quickly. We can carry out most examinations in under ten minutes. Our MRI exam of the knee only takes six minutes. The shorter time makes it easier for patients to lay still, which helps prevent motion artifacts. Dr. Schröter also highlights their step forward in MRI of the prostate. “In prostate exams we have saved almost 50 percent of time. We used to need about 35 minutes for an MRI exam of the prostate and now we can do it in just 18 minutes with a significantly higher resolution and higher image quality.”
Then, because the computing capacity is so large, we have the images immediately available on the large screen. Higher resolution is very valuable. From the high-resolution 3D sequences, excellent multiplanar reconstruction can be obtained. This makes it easier and faster for us to diagnose and create reports. And while the patient is still lying in the magnet, we can already view the images and make a diagnosis. When the patient comes out, I can immediately ask whether what I see corresponds to the symptoms.”
According to Dr. Schröter the advances that come with SmartSpeed enable them to more frequently use metal artifact suppression sequences, such as O-MAR, for imaging joints with prostheses. This sequence can now be acquired in the relatively short time of three minutes and Dr. Schröter observes significant progress in recognizing anatomy in the vicinity of the prostheses. SmartSpeed brought options for motion-free imaging, so motion artifacts no longer play a major role like before. Dr. Schröter says the team sees fewer repeat scans when using SmartSpeed, “Firstly, because patients’ time in the magnet is shorter, and secondly because SmartSpeed MotionFree reduces motion artifacts better than before.”
Motion artifacts no longer play a major role because patients’ time in the magnet is shorter and SmartSpeed reduces motion artifacts better than before.”
Dr. Tobias Schröter
MRT-Praxis Potsdam
According to Dr. Schröter MR is a powerful imaging modality, but for producing images with high resolution and excellent detail, a long scan time is often required. In addition, motion artifacts can be a problem, as remaining motionless throughout the exam is difficult for many patients. “Now, with SmartSpeed, we can achieve better results – high image resolution and razor-sharp images – in the shortest possible time. That is an advantage both for the patient and for us: the patient gets out of the scanner faster and diagnosing and reporting is easier for us.” “I can use SmartSpeed on patients with implants and for patients that cannot hold still, without worrying about re-scans due to motion. I am astonished by the great potential of SmartSpeed. I can get very good image quality in very short scan time, and 3D imaging in MSK is now feasible for us.”
With SmartSpeed, we can achieve high image resolution and razor-sharp images in the shortest possible time. We hardly have any examinations that last longer than ten minutes.”
Dr. Tobias Schröter
MRT-Praxis Potsdam
Previously, the practice wasn’t able to use 3D imaging on all joints, because the time required was too long, and on some joints it was simply not possible to achieve a good quality image, Dr. Schröter says. “Now, with SmartSpeed we consistently use 3D imaging for all joints and can thus discover the smallest changes, for example in the cartilage. And that, of course, helps us in making a detailed diagnosis.” Dr. Schröter says their MSK images show high contrast and extremely high quality. He mentions the menisci as an example. “We use a 3D proton density weighted fatsat sequence, thickness is 0.3 mm and scan time 3 minutes. The MPRs show an unbelievable resolution. Very small tears and even fraying of the tip of the meniscus become visible, which is normally only possible in arthroscopic surgery. When imaging the small joints of the fingers and the thumb we achieve extraordinary quality. Using SmartSpeed we succeed in displaying even very small structures anatomically correct, enabling us to see the extent of possible injuries. Tendons and ligaments appear with higher resolution so we can better see the injury pattern and describe and delimit it. Our referring physicians are fascinated by the extraordinary quality and high level of detail of the images. Patients are happy that the examination does not take too long. We hear from patients that it took a lot less time than they expected. This is especially important when scanning patients who are very uncomfortable in the MRI environment.”
SmartSpeed really surprised me – I didn't expect that images would be so impressive, that such speed and such high resolution are possible.”
Dr. Tobias Schröter
MRT-Praxis Potsdam
SmartSpeed is used to reduce scan times. All three PDw orientations were obtained with only one 3D sequence using SmartSpeed. Performed with 1.5T Ambition X, 16ch dS Knee coil.

SmartSpeed is used to reduce scan times. All three PDw orientations were obtained with only one 3D sequence using SmartSpeed. Performed with 1.5T Ambition X, 16ch dS Knee coil.

With these 3D scans we can create freely selectable MPRs that are pin-sharp, allowing us to easily see pathological changes.”
Dr. Tobias Schröter
MRT-Praxis Potsdam
Dr. Schröter points out that a more confident diagnosis requires high-quality images with more diagnostic information. “Philips SmartSpeed provided that to us. AI denoises the clinical images without losing any important data, resulting in high-resolution images. It keeps all the information we need and makes the images better. We can apply SmartSpeed to almost all sequences. That is a big step forward! We use it for example in 3D imaging and in diffusion-weighted imaging, to dramatically reduce scan time or increase image resolution, which is quite useful. There are small lesions that we would certainly have seen without SmartSpeed, however it would have taken us longer to properly diagnose. In 3D MSK images with extremely high resolution, we uncover the finest anatomical structures and can thus report very detailed findings.”
In our prostate exams we have saved almost 50 percent of time and obtain significantly higher resolution.”
Dr. Tobias Schröter
MRT-Praxis Potsdam
With SmartSpeed also scan times for diffusion imaging and motion-free imaging can be reduced. Scanned without contrast agent. Performed with 1.5T Ambition X, dS Torso coil.

With SmartSpeed also scan times for diffusion imaging and motion-free imaging can be reduced. Scanned without contrast agent. Performed with 1.5T Ambition X, dS Torso coil.

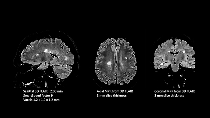
In this examination SmartSpeed is used to reduce scan times. All three FLAIR orientations were obtained with only one 3D sequence using SmartSpeed. Performed with 1.5T Ambition X, dS Head coil.

In this examination SmartSpeed is used to reduce scan times. All three FLAIR orientations were obtained with only one 3D sequence using SmartSpeed. Performed with 1.5T Ambition X, dS Head coil.

SmartSpeed is a real game changer. The decisive factor is that we can now achieve this speed and this high resolution."
Dr. Tobias Schröter
MRT-Praxis Potsdam
When Dr. Schröter initially planned to replace the old MRI system, he learned that safety requirements for the quench system had become so strict that the existing vent pipe could no longer be used and costs for updating it in the heritage-protected building were excessive. Choosing the Philips Ambition S with its BlueSeal magnet allowed Dr. Schröter to avoid the expensive conversion, as this magnet does not require a vent pipe, because the helium is permanently enclosed within the sealed magnet. The seven-liter helium content of the BlueSeal magnet is also significantly lower than the roughly 1500 liters of other Philips magnets. “With the BlueSeal magnet we don't need to concern ourselves with helium anymore. Refills are not needed, so there’s no time or cost wasted with that. Sustainability was also an important aspect for me when deciding for BlueSeal. Helium is a resource that is not infinitely available on earth, that's why I think it's good that we have a closed system that only includes seven liters. As a radiologist I can't see any difference between images from a sealed system and a system that requires regular helium refill. The image quality and the handling are virtually the same.”
“In our MRI room we have the Ambient Experience lighting and In-bore experience, which enable us to create a feel-good atmosphere for our patients,” says Dr. Schröter. “They feel more comfortable with this experience than in MRI machines without. Our patients love it. It helps many to successfully tolerate the examination. When inside the bore, patients can see the remaining scan time and breath hold guidance on the display. This is very popular. It improves patient engagement and ultimately image quality. Many patients tell us that if they had known how nice it was in our device, they wouldn't have been afraid of the exam. Patients often say that they will recommend us to others if they ever need an MRI. Thanks to image quality and a relaxing environment we have been able to scan a higher number of patients. I can emphasize that with the Ambition system, our patient throughput and exam scope have grown.”
Philips SmartSpeed is available via MR Workspace, the large-screen operator console that empowers the technologist with integrated AI protocol selection. We also use the new Day manager. During an ongoing examination it allows us to load and adjust the planned examinations for upcoming patients at the same time.”
“The big 27-inch 4K high resolution screen makes a total difference. It shows the large planning images with much higher resolution than we were used to. Anatomic landmarks can be more easily identified, which advances the process. Now it is much easier and faster to plan the new sequences and it’s easier for us to find lesions,” says Dr. Schröter.
“MR Workspace is a tool to operate the system more seamlessly. The user interface is designed in a very advanced way. Operation is intuitive. Many actions can be executed via drag and drop. It is really easy to use and self-explanatory. There are small features and tools that improve the work significantly. For example, being able to copy the geometry of one sequence to the next, without having to make any major adjustments.
Another important part of MR Workspace is the graphics processing unit (GPU), which allows on-the-fly reconstruction times for images acquired with SmartSpeed. “In addition to seeing razor-sharp images on the large 4K monitor, we also have better and faster reconstruction of the images. Using this extremely high resolution, we sometimes have sequences with up to 800 individual images. The GPU then manages to convert them in a matter of seconds into multiplanar reconstructions. Very impressive.”

“We’ve received great application training from Phillips”, Dr. Schröter says. “My highly motivated technologists were able to recognize the advantages of SmartSpeed in a very short time. Simultaneously they were also getting used to the new MR Workspace, which is completely different from the previous operating console. However, the new workspace is modern and very easy to use. We can simply select SmartSpeed from the menu. When Compressed SENSE protocols are available, only one click is needed to convert to a SmartSpeed sequence. And we can adjust the denoising levels depending on our needs: strong, medium or weak and achieve the best level for our practice. It makes work easier overall.”

Dr. Schröter believes SmartSpeed is really a step forward. “It is almost incomprehensible that scanning can be so fast. And the images are brilliant. I'm excited. For all of our examinations the scanning time was drastically shortened – particularly the switch to 3D sequences makes a difference. Our practice is now able to use some sequences that were hardly used before because of their long scan time.
SmartSpeed is a real game changer. The decisive factor is that we can now achieve this speed and this high resolution. And I can only say yes to the question on consistency of the picture quality. We can always produce brilliant images with SmartSpeed, so it is not necessary to repeat sequences.
Faster scanning means less possibility for motion artifacts, less rescans, and a much better result. We gain more confidence during reporting, so patients are getting a much better diagnosis. Everybody wins.”
Share this article
Our periodic FieldStrength MRI newsletter provides you articles on user experiences and best practices. Subscribe now to receive our free FieldStrength MRI newsletter via e-mail.
1. Compared to the way of working at MRT-Praxis Potsdam before having SmartSpeed. Results from case studies are not predictive of results in other cases. Results in other cases may vary.
You are about to visit a Philips global content page
ContinueSpletna stran je namenjena samo osebam, ki medicinske pripomočke uporabljajo kot profesionalci, vključno z osebami, ki opravljajo poklice v zdravstveni dejavnosti, osebami, ki delujejo za zdravstvene subjekte, ali subjekti, ki trgujejo z medicinskimi pripomočki kot profesionalci. Spletno mesto nikakor ni namenjeno potrošnikom ali splošni javnosti.
Ali ste oseba, ki izpolnjuje zgornja merila?